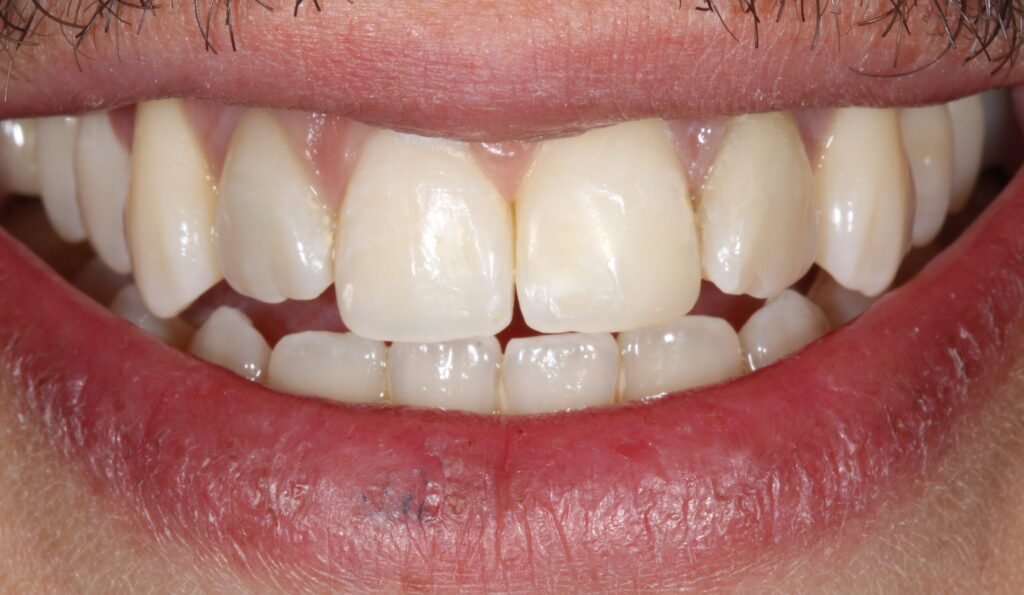
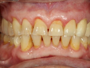
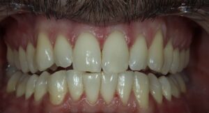
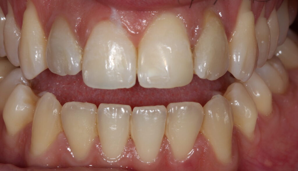
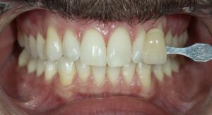
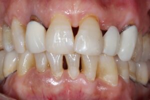
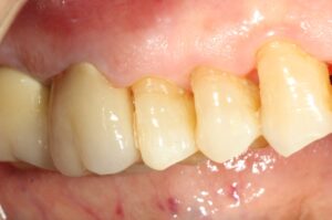
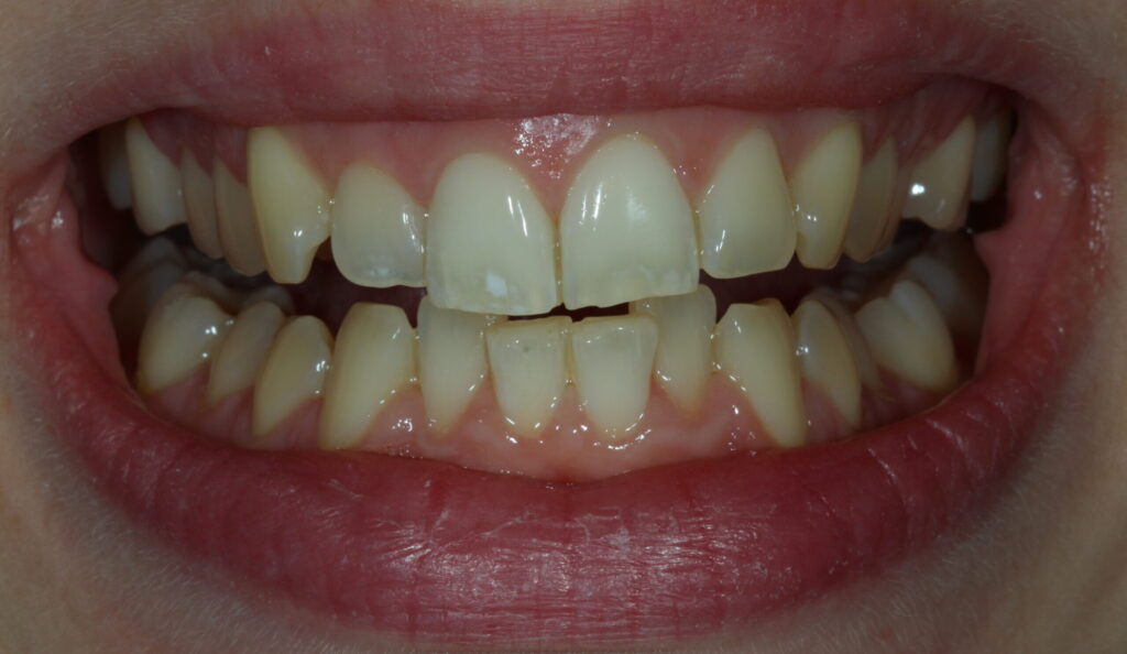
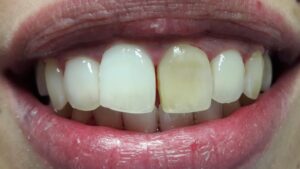
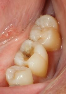
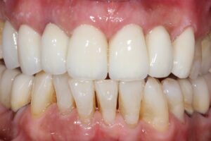
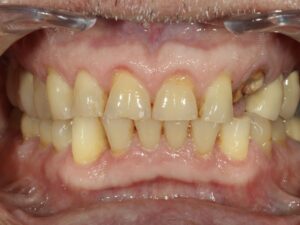
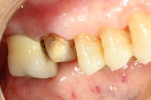
Στο Shiny Smiles σας χαρίζουμε το χαμόγελο που πάντα επιθυμούσατε! Λεύκανση Πριν Μετά Πριν Μετά Πριν Μετά Μάθετε Περισσότερα Προσθετική Πριν Μετά Πριν Μετά Πριν Μετά Μάθετε Περισσότερα Οδοντική Χειρουργική Πριν Μετά Μάθετε Περισσότερα Λεύκανση απονευρωμένου δοντιού και κλείσιμο διαστήματος Before After Σύρετε αριστερά και δεξιά για να δείτε το αποτέλεσμα! Μάθετε Περισσότερα